Dịch vụ nha khoa
-
01Bọc răng sứBọc răng sứ là phương pháp gắn mão sứ lên răng thật để cải thiện thẩm mỹ và bảo vệ răng. Kỹ thuật này giúp khắc phục răng hư hỏng, ố màu hoặc lệch nhẹ, mang lại hàm răng đẹp tự nhiên. -
02Trồng răng ImplantTrồng răng Implant là phương pháp phục hình răng mất bằng cách cấy trụ Titanium vào xương hàm, rồi gắn mão sứ lên trên, giúp khôi phục thẩm mỹ và chức năng nhai. -
03Dán sứ VeneerDán sứ Veneer là phương pháp gắn lớp sứ mỏng lên bề mặt răng để cải thiện thẩm mỹ, khắc phục răng ố màu, sứt mẻ, hoặc lệch nhẹ mà không cần mài nhiều răng. -
04Niềng răngNiềng răng là phương pháp chỉnh nha sử dụng khí cụ như mắc cài hoặc khay trong suốt để điều chỉnh răng mọc lệch, hô, móm, thưa, giúp răng đều đẹp và cải thiện khớp cắn.
-
Quý khách lưu ýChương trình chỉ áp dụng cho 30 người đăng ký sớm từ ngày 01/03 đến ngày 31/03/2026.
-
Còn 5 suất chưa đăng kýQuý khách có thể đăng ký giữ chương trình giảm giá để áp dụng khi thực hiện trong trường hợp chưa thể làm dịch vụ trong tháng này.
Thủ tục đăng ký khám
-
Bước 1Tư vấn trực tuyến -
Bước 2Đặt hẹn lịch khám -
Bước 3Xác nhận mã khám
-
Thân thiện, nhiệt tình -
Thăm khám, điều trị hiện đại hóa -
Chu đáo, săn sóc -
Bảo mật thông tin
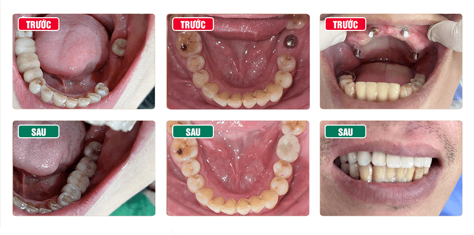
Kết quả trước & sau điều trị
Lý do khách hàng nên lựa chọn
Báo chí nói về chúng tôi
-
Học vấn - Bằng cấp
Tốt nghiệp Bác sĩ Răng - Hàm - Mặt Đại học Y Dược TP. Hồ Chí Minh.
-
Chứng chỉ
Chứng chỉ hành nghề, khám bệnh, chữa bệnh.
Chứng chỉ chỉnh nha cơ bản và nâng cao.
Chứng chỉ kiểm soát lây nhiễm khuẩn Đại học Y Hà Nội.
Chứng chỉ chỉnh hình Răng Hàm Mặt Đại học Y Dược TP. Hồ Chí Minh.
Chứng chỉ chỉnh nha bằng khay trong suốt Invisalign.
Chứng chỉ chỉnh nha: "Bioprogressive - Do giáo sư Nelson J Oppermann".
Chứng chỉ chỉnh nha chuyên sâu: "Tokyo Medical and Dental University - Institute of Global Affairs".
Xem thêm -
Thành tựu đạt được
Bác sĩ Chuyên khoa I - Chuyên ngành Răng - Hàm - Mặt Đại học Y Dược TP. Hồ Chí Minh.
Trưởng khoa niềng răng, chỉnh nha tại Nha khoa AVORA Dental.
-
Học vấn - Bằng cấp
Tốt nghiệp Bác sĩ Răng - Hàm - Mặt Đại học Y Dược Huế.
-
Chứng chỉ
Chứng chỉ Hành nghề khám chữa bệnh chuyên khoa Răng Hàm Mặt.
Chứng chỉ Cấy ghép nha khoa Nâng cao, ĐH Y Hà Nội.
Chứng chỉ Cấy ghép nha khoa Cơ bản, ĐH Y Dược Cần Thơ.
Chứng nhận Cấy ghép Implant kỹ thuật số, ĐH Y Dược TP HCM.
Chứng nhận cập nhật kiến thức y khoa: "Cải tiến trong tái sinh xương".
Chứng nhận cập nhật kiến thức y khoa: "Tiến bộ mới nhất trong tái sinh xương và mô mềm".
Hoàn thành khoá học: "Nội nha tái sinh và các điều trị bảo tồn tuỷ răng".
Hoàn thành khoá học: "Phục hồi toàn hàm Fullmouth Master".
Xem thêm -
Thành tựu đạt được
Bác sĩ Chuyên khoa I - Chuyên ngành Răng - Hàm - Mặt Đại học Y Dược Huế.
Trưởng khoa răng sứ thẩm mỹ, Implant tại nha khoa Avora Dental
Kiến thức nha khoa
-
Niềng Răng 1 Hàm (Hàm Trên Hoặc Hàm Dưới) Có Được Không? Giá Bao Nhiêu 2025?Niềng răng là kỹ thuật chỉnh nha giúp cải thiện tình trạng xô lệch và mất tương quan giữa các răng và giữa 2 hàm. Vậy trong một số trường hợp đặc biệt khi răng ở hàm trên hoặc hàm dưới bị xô lệch, mọc sai thì có niềng răng 1 hàm được không? Liệu niềng răng ở một hàm có mang lại hiệu quả chỉnh nha cao không và mức giá niềng là bao nhiêu? Nha khoa AVORA Dental sẽ giải đáp chi tiết các thắc mắc này trong bài viết sau. -
Thời gian "vàng" để niềng răng cho trẻNiềng răng cho trẻ là quá trình di chuyển các răng vĩnh viễn về đúng vị trí vốn có của nó trên cung hàm. -
Trụ Implant Thụy Sĩ Có Tốt Không? Nên Dùng Loại Nào? Giá Bao Nhiêu 2025?Trụ Implant Thụy Sĩ là dòng trụ được đánh giá cao về chất lượng và ưu điểm vượt trội so với nhiều trụ Implant khác. Nhiều Bác sĩ nhận định, trụ Implant Thụy Sĩ là sự lựa chọn tốt nhất để phục hồi răng đã mất. Cùng Nha khoa AVORA Dental tìm hiểu về dòng trụ Implant Thụy Sỹ qua bài viết dưới đây nhé! -
Ghép Xương Răng Trong Cấy Ghép Implant Là Gì? Chi Phí Bao Nhiêu 2025?Ghép xương răng được chỉ định trong trường hợp mật độ xương hàm tại vị trí răng mất của bệnh nhân không đủ để cấy ghép Implant. Theo đó, nhiều khách hàng thắc mắc ghép xương răng Implant là gì? Chi phí bao nhiêu? Cùng AVORA Dental tìm hiểu chi tiết trong bài viết dưới đây nhé! -
Quy trình tẩy trắng răng tại nha khoa - những điều bạn cần biếtBạn đang thắc mắc về quy trình tẩy trắng răng tại nha khoa và muốn biết liệu phương pháp này có an toàn và hiệu quả không? Hãy cùng AVORA Dental tìm hiểu rõ từng bước của quy trình tẩy trắng răng tại nha khoa, lợi ích, rủi ro và những điều cần lưu ý để có nụ cười trắng sáng. -
Răng Sứ HT Smile Là Gì? Có tốt không? Chi Phí Bao Nhiêu 2025?Là một trong những dòng răng toàn sứ có chi phí cao nhưng HT Smile vẫn luôn chiếm trọn được sự tin tưởng của khách hàng và được các chuyên gia, nha sĩ đánh giá cao. Vậy răng sứ HT Smile là gì? Ưu điểm và chi phí? Cùng Nha khoa AVORA Dental tìm hiểu qua bài viết dưới đây nhé!


