Kiến Thức Nha Khoa
-
Hàm duy trì có mấy loại?Hàm duy trì là 1 khí cụ được bác sĩ yêu cầu người sau khi tháo niềng răng. Hàm duy trì có tác dụng để đảm bảo sự ổn định tại vị trí mới của răng, tránh bị xô lệch và trở về vị trí ban đầu. Tùy vào từng tình trạng mỗi người, bác sĩ sẽ tư vấn cho bệnh nhân đeo các loại hàm duy trì phù hợp.Chi tiết -
Clincheck là gì? Lợi ích của Clincheck đối với sức khỏe răng miệngNiềng răng không chỉ là phương pháp giúp cải thiện thẩm mỹ mà còn mang lại nhiều lợi ích cho sức khỏe răng miệng. Trong những năm gần đây, Invisalign, một phương pháp niềng răng trong suốt đã trở thành lựa chọn hàng đầu của nhiều người nhờ tính thẩm mỹ cao và sự tiện lợi. Một trong những yếu tố quan trọng giúp Invisalign thành công chính là công nghệ Clincheck. Vậy Clincheck là gì? Và Clincheck mang lại lợi ích gì cho quá trình niềng răng?Chi tiết -
Cùi răng là gì? Ưu và nhược điểm khi làm cùi răng giảCùi răng là gì là một trong những vấn đề được nhiều người quan tâm, nhất là với những ai đang có ý định bọc răng sứ. Trong bài viết này, mời bạn cùng Nha khoa Avora Dental tìm hiểu về cùi răng cũng như những vấn đề về mài cùi răng, cùi răng giả trước khi tiến hành bọc răng sứ nhé.Chi tiết -
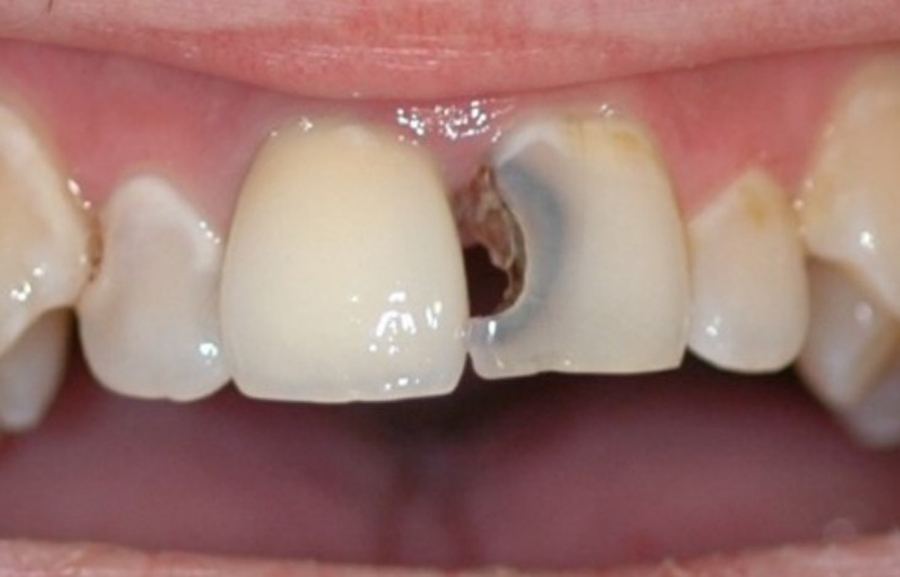
Hàn răng thưa là gì? Hướng dẫn chăm sóc răng miệng sau khi hàn răng thưaHàn răng thưa là một phương pháp nha khoa phổ biến giúp khắc phục tình trạng răng thưa, mang lại nụ cười tự tin và thẩm mỹ hơn. Kỹ thuật này sử dụng vật liệu composite để lấp đầy khoảng trống giữa các răng một cách nhanh chóng và hiệu quả. Nếu bạn đang băn khoăn liệu hàn răng thưa có phù hợp, bài viết dưới đây sẽ giải đáp mọi thắc mắc và giúp bạn lựa chọn giải pháp tối ưu nhất.Chi tiết -
Khi nào nên trám răng? Trám răng có bền không?Chăm sóc răng miệng là một việc làm quan trọng để bảo vệ sức khỏe của chúng ta. Tuy nhiên, đôi khi chúng ta vẫn không tránh khỏi việc bị sâu răng, nứt hoặc mất một phần răng. Điều đó khiến cho việc trám răng trở thành một giải pháp hữu hiệu để bảo vệ và cải thiện sức khỏe răng miệng. Nhưng khi nào thì nên trám răng? Trám răng có bền không? Hãy cùng tìm hiểu trong bài viết này.Chi tiết -
Quy trình tẩy trắng răng tại nha khoa - những điều bạn cần biếtBạn đang thắc mắc về quy trình tẩy trắng răng tại nha khoa và muốn biết liệu phương pháp này có an toàn và hiệu quả không? Hãy cùng Nha khoa Avora Dental tìm hiểu rõ từng bước của quy trình tẩy trắng răng tại nha khoa, lợi ích, rủi ro và những điều cần lưu ý để có nụ cười trắng sáng.Chi tiết -
Răng khôn mọc lệch hàm trên: Khi nào cần nhổ?Răng khôn mọc lệch hàm trên có thể gây ra nhiều vấn đề như đau nhức, viêm nhiễm, hay thậm chí ảnh hưởng đến các răng bên cạnh. Vậy khi nào cần nhổ răng khôn? Bài viết này sẽ giúp bạn nhận biết dấu hiệu răng khôn mọc lệch hàm trên và tác hại của răng khôn mọc lệch, từ đó có quyết định đúng đắn để bảo vệ sức khỏe răng miệng khỏe mạnh.Chi tiết -
Bật mí 7 cách chăm sóc răng miệng khoẻ đẹpĐể có một hàm răng chắc khỏe sẽ cần đến sự kiên trì cùng với một quá trình chăm sóc răng hợp lý, đúng cách. Một hàm răng đẹp cùng nụ cười toả sáng sẽ thu hút được nhiều ánh nhìn và cảm tình đối với người khác.Chi tiết
