Tại sao phải chụp X-quang trước khi niềng răng?
Niềng răng là gì?
Niềng răng là thuật ngữ nha khoa, nói về một kỹ thuật dịch chuyển răng về đúng vị trí bằng cách sử dụng các khí cụ chuyên dụng như mắc cài, khay niềng, ... nhằm mục đích đưa khớp cắn về chuẩn tỷ lệ, giúp bạn sở hữu hàm răng đều đẹp, cân đối.
Với sự phát triển mạnh mẽ trong công nghệ và kỹ thuật nha khoa, phương pháp niềng răng chỉnh nha ngày nay được thực hiện bởi nhiều phương thức và dụng cụ khác nhau, đem đến cho khách hàng sự tiện lợi, thoải mái lựa chọn theo mong muốn của mình.

Tại sao phải chụp x quang khi niềng răng?
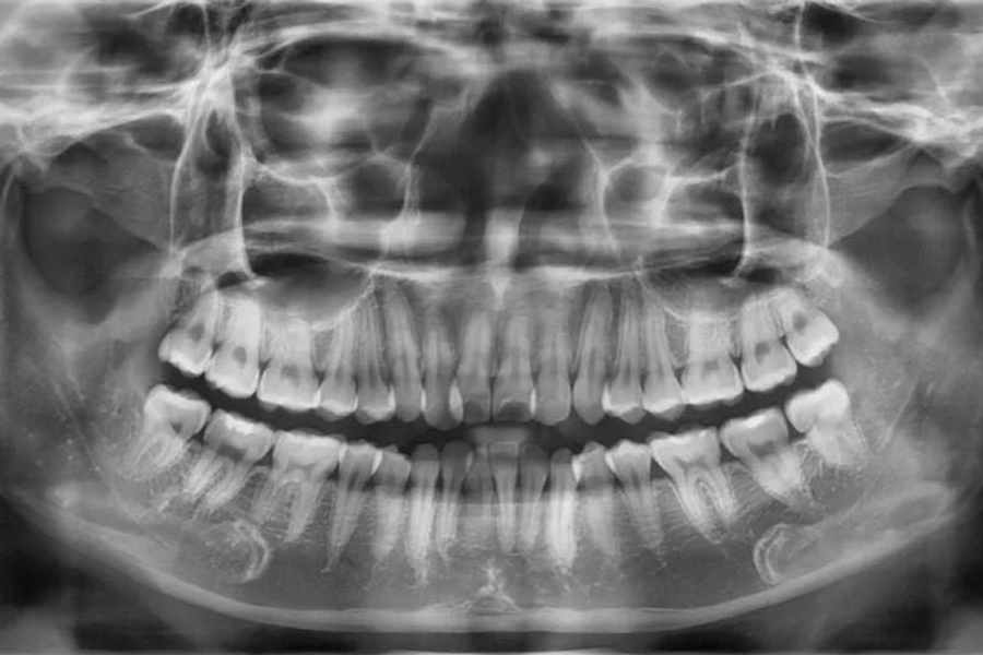
Để thực hiện niềng răng các bác sĩ phải lên phác đồ điều trị cụ thể đối với từng trường hợp. Để có thể chẩn đoán chính xác và lên kế hoạch điều trị hợp lý, bác sĩ phải hiểu rõ đặc điểm xương hàm, trục răng, mức độ lệch lạc của răng và độ cứng chắc của răng như thế nào... Do vậy chụp Xquang trước kh niềng rang là việc rất cần thiết. Thông qua những hình ảnh thu được từ việc chụp phim Xquang khi niềng răng kết hợp với hình ảnh thăm khám khoang miệng, ngoài mặt, lấy dấu mẫu hàm, bác sĩ mới có thể đưa ra được những nhận định và phán đoán chính xác về tình trạng răng, hướng dịch chuyển của răng sau khi niềng và lên phác đồ cụ thể cho từng trường hợp.
Niềng răng trong chỉnh nha là một điều trị trong khoảng thời gian dài, từ 2 - 3 năm, điều này có thể khiến bác sĩ không thể nhớ hết được những điều trị của mình cũng có thể bệnh nhân sẽ quên đi hàm răng trước khi niềng của bản thân. Vì vậy việc chụp Xquang sẽ cho phép bác sĩ và bệnh nhân có cái nhìn toàn diện và chính xác hơn trong quá trình niềng răng.
Bên cạnh đó, chụp phim Xquang là một trong những cách lưu trữ thông tin về tình trạng răng và xương hàm của bệnh nhân, dựa vào các hình ảnh trên phim qua các lần chụp bác sĩ và bệnh nhân có thể thấy được sự di chuyển của răng cũng như hiệu quả quá trình điều trị chỉnh nha.

Chụp Xquang khi niềng răng có đau không?
Những người chưa từng chụp Xquang có thể lo sợ bị đau trong quá trình chụp. Tuy nhiên, trên thực tế, quy trình chụp Xquang khi niềng răng vô cùng đơn giản, không hề đau đớn, chỉ sau khoảng 5s bạn đã nhìn được tổng quát hình dáng, tình trạng răng của mình. Bạn cần thả lỏng, không quá căng thẳng trong quá trình chụp để chất lượng phim được rõ nét, từ đó, quá trình chẩn đoán của bác sĩ cũng dễ dàng với kết quả chính xác hơn.
Những lưu ý khi chụp x quang
Việc chụp phim Xquang trong điều trị nha khoa phụ thuộc vào sự chỉ định của bác sĩ:
- Tia X có khả năng gây nhiễm xạ, ảnh hưởng không tốt đến sức khỏe nếu tiếp xúc trong thời gian dài. Vì vậy khi chụp Xquang bạn có thể được bảo vệ bởi áo chì nhằm hạn chế sự tiếp xúc trực tiếp giữa tia X và cơ thể.
- Trong y tế, lượng tia X dùng để chụp phim Xquang rất nhỏ và hoàn toàn được kiểm soát.

Lưu ý đối với thai phụ và trẻ em:
- Đối với thai phụ: Trong điều trị nha khoa, tuy chụp Xquang chỉ được thực hiện ở vùng miệng nhưng nếu bạn mang thai, bạn nên thông báo với chuyên viên y tế về tình hình thai kỳ để được hỗ trợ thiết bị bảo vệ tránh ảnh hưởng đến thai nhi nhằm đảm bảo sức khỏe thai nhi nhất là trong ba tháng đầu.
- Trẻ em đôi lúc cũng sẽ được chỉ định chụp Xquang để xác định tình trạng răng lệch lạc, răng mọc xiên lệch cũng như những tình trạng sâu răng trước khi phát triển, lây lan sang những răng bên cạnh... Đối với việc này bác sĩ sẽ có những biện pháp chữa trị.
Hy vọng những thông tin mà chúng tôi cung cấp bên trên đã giúp các bạn tìm được câu trả lời phù hợp cho thắc mắc tại sao phải chụp Xquang trước khi niềng răng. Chúc các bạn có một sức khỏe tốt với nụ cười trắng sáng.
-
Nguyễn KhangBọc combo 16 răng sứ giúp mình sở hữu nụ cười tự nhiên hơn bao giờ hết. Không gian phòng khám hiện đại, bác sĩ làm rất kỹ và nhẹ nhàng. Kết quả khiến tôi vượt xa mong đợi!- Thích
- Phản hồi
- 4 ngày
-
Nguyễn Thị Thu HàDịch vụ Implant ở đây quá tuyệt vời! Quy trình nhanh chóng, không đau và răng mới rất chắc chắn. Tôi sẽ giới thiệu nha khoa cho bạn bè có nhu cầu trồng răng. Cảm ơn bác sĩ Đồng!- Thích
- Phản hồi
- 5 ngày
-
Vũ Minh ChâuSau 2 năm niềng răng tại AVORA, tôi đã có một hàm răng đều và đẹp. Bác sĩ Ka Mỹ luôn đồng hành và giải thích rõ ràng mỗi khi điều chỉnh.- Thích
- Phản hồi
- 5 ngày
-
Cẩm TúTôi đã bọc 6 răng sứ tại đây và cảm thấy rất tự tin khi cười. Màu sắc và hình dáng của răng được làm rất tự nhiên. Bác sĩ Viên làm việc rất chuyên nghiệp.- Thích
- Phản hồi
- 5 ngày
-
Tô Chí KiênDịch vụ bọc răng sứ tại AVORA Dental rất tuyệt vời! Quy trình được thực hiện chuyên nghiệp bởi bác sĩ Viên, không đau, và kết quả đẹp tự nhiên. Mình rất hài lòng với hàm răng mới, sáng bóng và đều đặn. Đội ngũ bác sĩ tận tâm và giải đáp mọi thắc mắc một cách chi tiết.- Thích
- Phản hồi
- 5 ngày
-
Ánh DươngTôi đã trải nghiệm Dán sứ Veneer tại AVORA Dental và rất hài lòng. Các bác sĩ tư vấn nhiệt tình, quy trình nhẹ nhàng, không mài răng nhiều mà vẫn đạt độ thẩm mỹ cao. Kết quả khiến mình tự tin hơn rất nhiều khi cười.- Thích
- Phản hồi
- 5 ngày
-
Dương Quỳnh HoaDịch vụ trồng răng Implant tại AVORA Dental thật sự đáng đồng tiền. Từ tư vấn, chụp X-quang đến cấy ghép đều rất chuyên nghiệp. Sau khi hoàn thành, răng Implant chắc chắn và không hề gây khó chịu, cảm giác như răng thật. Mình rất an tâm với chất lượng ở đây.- Thích
- Phản hồi
- 6 ngày
-
Hoàng Đình PhúcNiềng răng tại AVORA Dental là lựa chọn đúng đắn của tôi. Dịch vụ tận tâm, bác sĩ Ka Mỹ luôn theo dõi sát sao quá trình chỉnh nha. Sau 18 tháng, mình đã có một hàm răng thẳng đều, cải thiện đáng kể thẩm mỹ khuôn mặt.- Thích
- Phản hồi
- 6 ngày
-
Lê Hoàng LanQuy trình bọc răng sứ tại đây rất nhanh gọn và nhẹ nhàng. Tôi không cảm thấy đau hay khó chịu trong suốt thời gian thực hiện. Hàm răng mới làm mình cảm thấy tự tin hơn rất nhiều trong giao tiếp hàng ngày!- Thích
- Phản hồi
- 7 ngày
-
Đặng Gia BảoDịch vụ Dán sứ Veneer ở AVORA Dental thật sự xuất sắc. Mình thích cách bác sĩ chọn màu sứ phù hợp với răng tự nhiên, khiến người khác khó nhận ra tôi đã dán sứ. Răng sau khi làm đẹp mà không gây ê buốt.- Thích
- Phản hồi
- 7 giờ
-
Quang DuySau khi trồng răng tại AVORA Dental, tôi cảm thấy hàm răng mình như được hồi sinh. Bác sĩ Đồng cực kỳ chuyên môn, hướng dẫn chăm sóc răng miệng kỹ lưỡng. Đây là nơi mình tin tưởng để chăm sóc nụ cười.- Thích
- Phản hồi
- 18 giờ
-
Bùi Văn ThắngNiềng răng tại đây khiến mình thấy thoải mái ngay từ lần đầu. Bác sĩ rất tận tình, luôn lắng nghe các vấn đề của tôi. Các khí cụ chỉnh nha được vệ sinh sạch sẽ, và mình không gặp bất kỳ vấn đề nào trong suốt thời gian điều trị.- Thích
- Phản hồi
- 23 giờ
-
Dương Ngọc HảiRăng sứ mà tôi bọc tại nha khoa không chỉ đẹp mà còn bền. Sau gần một năm sử dụng, răng vẫn giữ màu và không có dấu hiệu bị hỏng. Tôi rất ấn tượng với tay nghề của đội ngũ nha sĩ tại đây.- Thích
- Phản hồi
- 1 ngày
-
Lê Anh TuấnDán Veneer tại AVORA đúng là quyết định đúng đắn nhất của mình! Bác sĩ thực hiện kỹ lưỡng từng bước, từ chọn màu sứ đến dán. Tôi rất tự tin khi cười nhờ vào nụ cười mới hoàn hảo này.- Thích
- Phản hồi
- 1 ngày
-
Ngọc ĐăngTôi đã trồng 2 răng Implant tại đây và kết quả rất tốt. Kỹ thuật cấy ghép tiên tiến, không gây đau đớn và thời gian hồi phục nhanh. Răng chắc chắn, ăn nhai tự nhiên, không khác gì răng thật. Mình rất hài lòng.- Thích
- Phản hồi
- 2 ngày
-
Xuân ThanhMình đã niềng răng trong suốt tại nha khoa rất hài lòng. Răng được chỉnh đều mà không ai nhận ra tôi đang niềng. Đội ngũ bác sĩ rất thân thiện và chuyên nghiệp, luôn giải đáp mọi thắc mắc của mình.- Thích
- Phản hồi
- 3 ngày
-
Hồng PhượngBọc răng sứ là trải nghiệm tuyệt vời. Tôi rất ngại đau, nhưng các bác sĩ làm rất nhẹ nhàng. Răng sứ được thiết kế vừa vặn, màu sắc tự nhiên và phù hợp với gương mặt tôi. Mình hoàn toàn hài lòng.- Thích
- Phản hồi
- 3 ngày
-
Nguyễn Sơn TùngBác sĩ Thanh dán sứ rất chuyên nghiệp. Không gian phòng khám sạch sẽ, bác sĩ làm việc tận tâm. Răng sau khi dán sứ trông hoàn hảo mà không hề làm mình thấy ê buốt.- Thích
- Phản hồi
- 4 ngày
-
Tô GiangTrồng răng Implant do bác sĩ Đồng thực hiện khiến mình yên tâm tuyệt đối. Bác sĩ là người kinh nghiệm và sử dụng công nghệ hiện đại. Răng sau khi trồng cảm giác như răng thật, không còn khó khăn trong ăn nhai nữa.- Thích
- Phản hồi
- 4 ngày
-
Đức MinhQuá trình niềng răng do bác sĩ Phượng thực hiện diễn ra suôn sẻ. Từ khâu tư vấn đến các buổi tái khám đều rất tốt. Bác sĩ Phượng rất cẩn thận, luôn giải thích rõ ràng mỗi khi điều chỉnh.- Thích
- Phản hồi
- 4 ngày
-
Mạnh TiếnNhờ bọc răng sứ tại đây, tôi không chỉ có hàm răng đẹp mà còn cải thiện sức khỏe răng miệng. Bác sĩ Viên tư vấn tận tâm, giúp tôi chọn loại sứ phù hợp với ngân sách và nhu cầu.- Thích
- Phản hồi
- 4 ngày
-
Lò Thành ĐạtChất lượng điều trị ở đây thực sự xuất sắc, tôi đã thấy cải thiện rõ rệt sau điều trị tủy răng.- Thích
- Phản hồi
- 4 ngày
-
Khánh MyNhờ trồng răng tại đây, tôi đã khắc phục được tình trạng mất răng lâu năm. Răng mới rất tự nhiên và không có cảm giác lạ khi ăn uống. Mình sẽ giới thiệu cho bạn bè, người thân.- Thích
- Phản hồi
- 5 ngày
