Kiến Thức Nha Khoa
-
-
Nên trồng răng loại nào thì phù hợp?Khi mất răng, việc tìm kiếm một phương pháp trồng răng phù hợp là điều quan trọng không chỉ để phục hồi thẩm mỹ mà còn để đảm bảo chức năng nhai hiệu quả. Hiện nay, có nhiều phương pháp trồng răng giả với những ưu điểm và hạn chế riêng. Vậy nên trồng răng loại nào là tốt hãy cùng tìm hiểu qua bài viết hôm nay.Chi tiết -
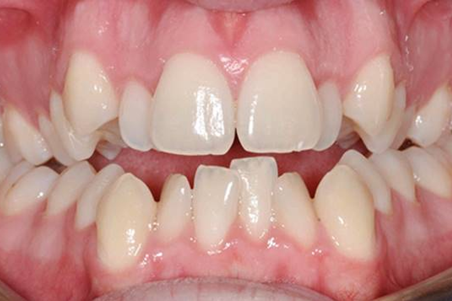
Những trường hợp lệch răng cần phải đến nha sĩChỉnh nha là một chuyên ngành của Răng Hàm Mặt, chuyên chẩn đoán, điều trị những lệch lạc răng và khuôn mặt.Chi tiết -
Thời gian "vàng" để niềng răng cho trẻNiềng răng cho trẻ là quá trình di chuyển các răng vĩnh viễn về đúng vị trí vốn có của nó trên cung hàm.Chi tiết -
Tại sao phải chụp X-quang trước khi niềng răng?Niềng răng là một trong những phương pháp được nhiều người lựa chọn với mong muốn có một hàm răng chắc khỏe, đều đẹp. Nhưng không phải ai cũng biết lý do tại sao phải chụp Xquang trước khi niềng răng. Hãy tìm hiểu trong bài viết dưới đây.Chi tiết -
Niềng răng có làm răng bị yếu không?Niềng răng là sự tác động của mắc cài và khay nắn chỉnh đến răng để răng di chuyển về đúng vị trí đã xác định trước đó. Sự tác động này khiến nhiều người lo ngại về sự yếu dần của răng trong quá trình niềng. Vậy niềng răng có làm răng yếu đi không?Chi tiết -
Hàm duy trì trong suốt và 5 ưu điểm vượt trộiHàm duy trì trong suốt có tác dụng bảo vệ kết quả niềng răng mà vẫn đảm bảo tính thẩm mỹ. Bên cạnh đó, loại hàm duy trì này còn có nhiều ưu điểm vượt trội khác. Mời bạn cùng Nha khoa Avora Dental tìm hiểu chi tiết hơn về loại hàm này trong bài viết dưới đây!Chi tiết -
Vì sao cần làm răng giả và những lưu ý sau khi làm răngLàm răng giả không chỉ khắc phục vấn đề về thẩm mỹ mà còn mang lại nhiều lợi ích sức khỏe khác. Bài viết dưới đây sẽ giải thích chi tiết hơn về lợi ích của răng giả và một số lưu ý sau khi làm răng.Chi tiết
